“VENEERS”
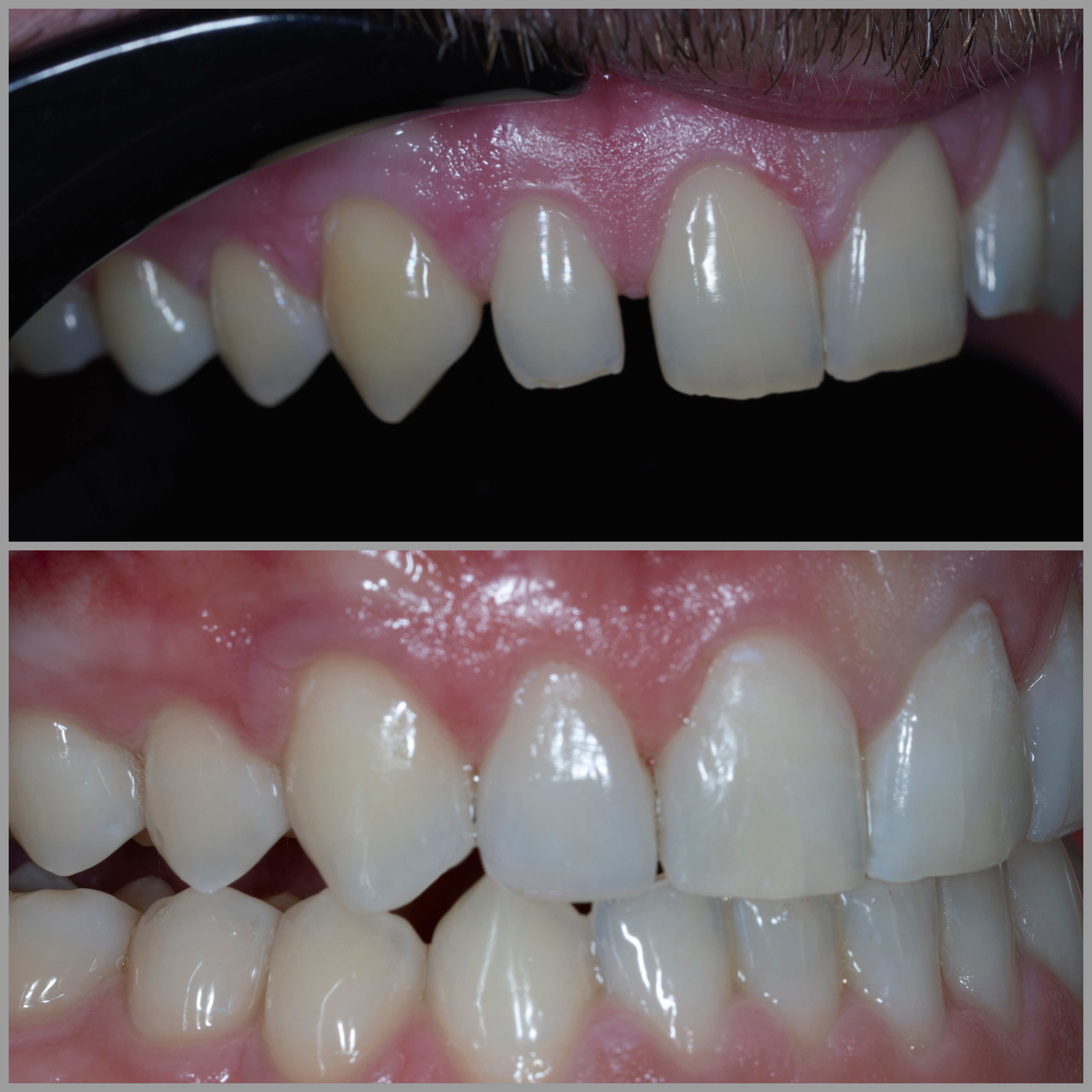
Keramičke ljuskice ili “veneers” jedno su od najboljih i najčešćih rješenja u suvremenoj estetskoj stomatologiji za postizanje „holivudski bijelog osmijeha“.
“Veneers” su trajni protetski nadomjesci koji se lijepe na prednju površinu zuba bez prethodnog brušenja (non-prep tehnikom) ili uz minimalno brušenje te u potpunosti prikrivaju nedostatke prirodnih zuba. Nakon postavljanja ljuskica, zubi su prirodnog izgleda.
Ljuskicama možemo ispraviti:
- promjenu boje zuba
- razmake među zubima
- otkrhnuti zub
- napuknutu caklinu
- različitu duljinu zuba
- nepravilni položaj zuba
Kvalitetno izrađene ljuskice, uz pacijentovo održavanje dobre higijene i redovite kontrole, mogu trajati vrlo dugo.



