


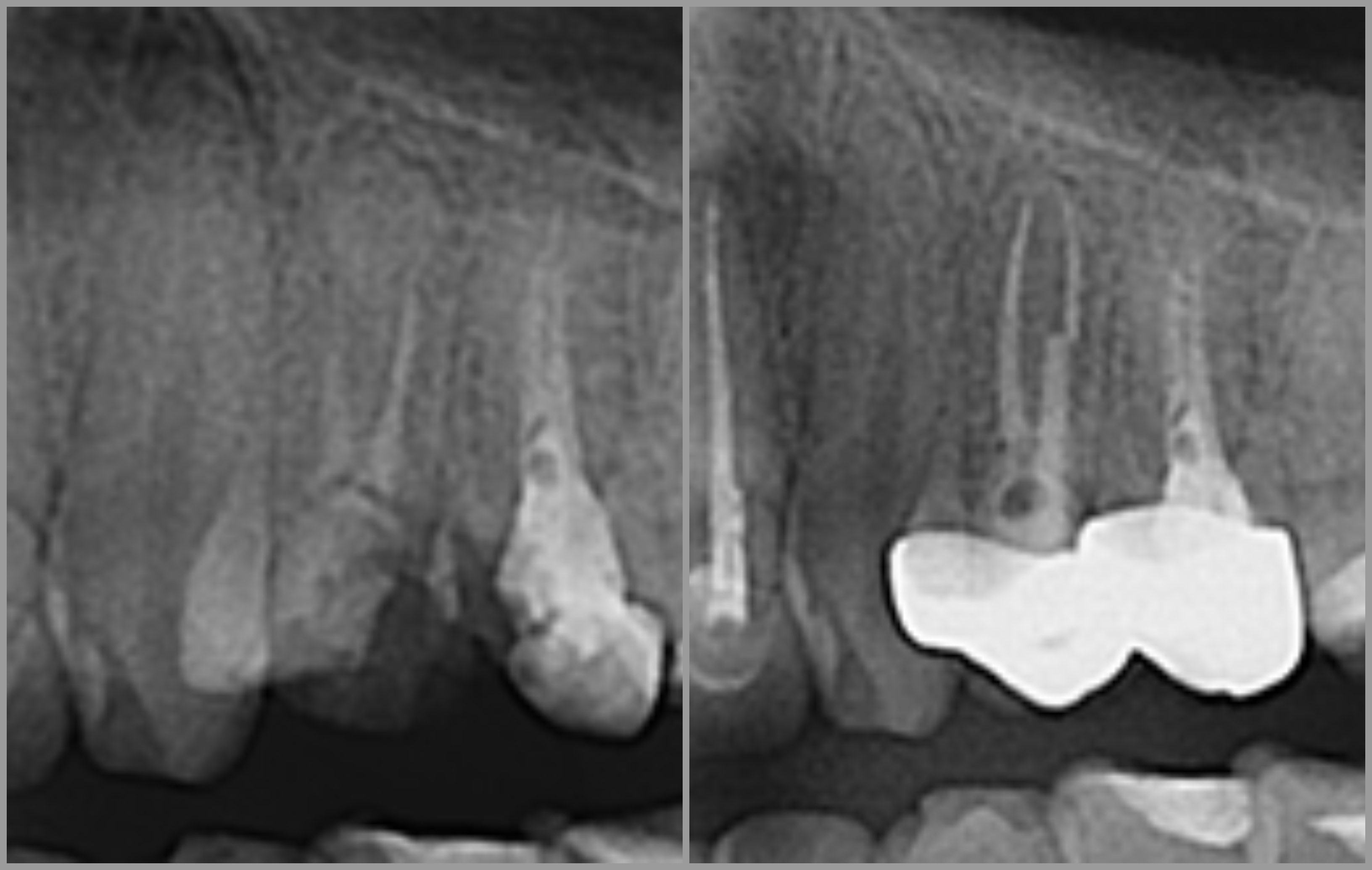
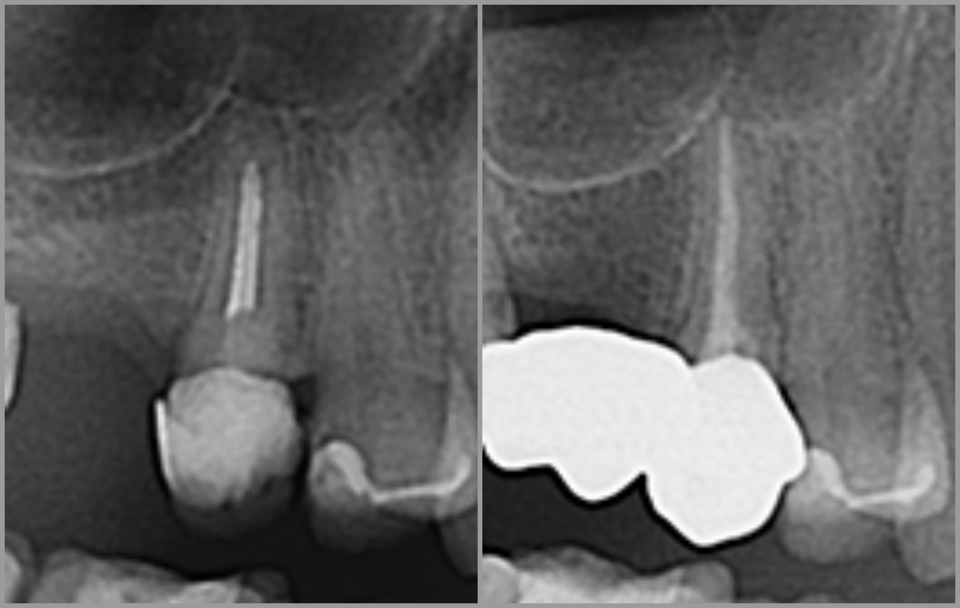
Endodontska terapija provodi se kada karijes uništi zub (caklinu i dentin) te dođe do živca (pulpe).
Ako se zub s upalnim procesom ne liječi, dolazi do širenja upale na kost i stvaranja upalnog procesa oko vrha korijena, odnosno dolazi do razvoja granuloma.
Endodontska terapija započinje uklanjanjem karijesom zahvaćenog zubnog tkiva, nakon čega se odstranjuje upaljena zubna pulpa te se kemijski i mehanički čisti zubni kanal radi uklanjanja bakterija i inficiranog dentina.
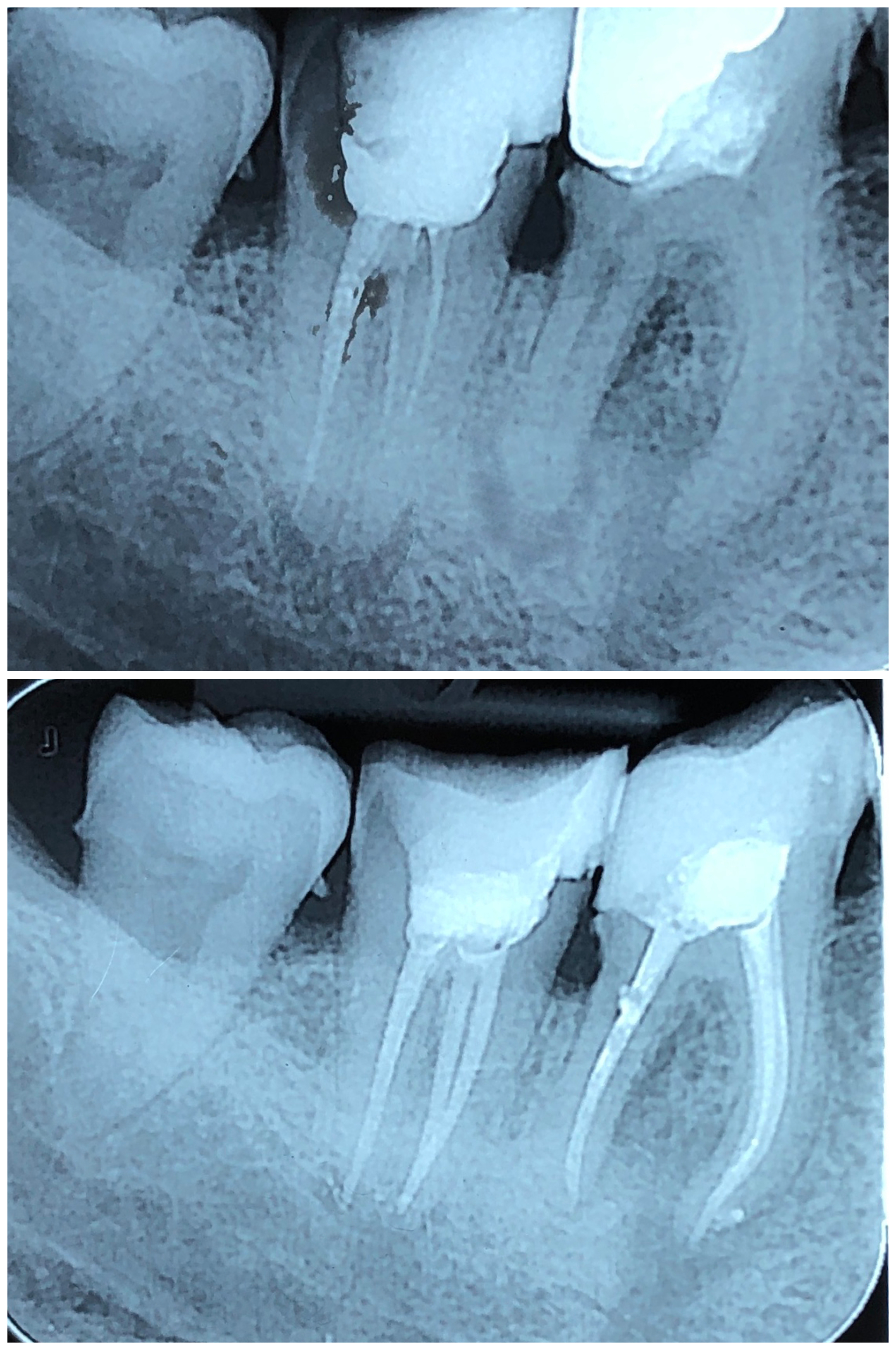
Tretirani zub jednako je funkcionalan kao i vitalni zubi, a sam korijen se može koristiti za protetske nadomjestke (krunice i mostove).
SUSTAV RECIPROC
Ključ uspješnog liječenja je u primjeni strojne umjesto ručne obrade kanala.
Zato se u našoj ordinaciji primjenjuje najnoviji i tehnološki najmoderniji sustav strojne endodoncije – sustav Reciproc.
Reciproc predstavlja potpuno novi koncept u liječenju korijenskih kanala zuba. Postupak u kojem se primjenjuje ovaj sustav potpuno je siguran, brz, jednostavan i bezbolan. U većini slučajeva za liječenje zuba dovoljan je jedan posjet ordinaciji.








