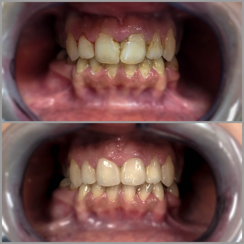
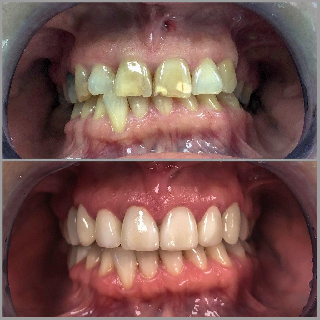
KERAMIČKE KRUNICE
Keramičke krunice najčešće su protetsko rješenje u slučaju funkcionalnog ili estetskog oštećenja zuba.
Krunice se preporučuju uslijed velikog oštećenja zuba koje prijeti pucanjem zuba, a kod endodontski liječenih zuba koji nakon terapije imaju veliki gubitak zubnog tkiva ili iz estetskih razloga, kada se želi poboljšati izgled i boja samog zuba. One u potpunosti prekrivaju krunu, odnosno vidljivi dio zuba.
Most je fiksno protetski nadomjestak kojim nadomještamo više izgubljenih zuba, a služi kao alternativa postavljanju implantata.
Krunice mogu biti izrađene od metal-keramike, staklo-keramike i cirkon-keramike.
- METAL-KERAMIČKE KRUNICE
Osnovna konstrukcija metal-keramičke krunice napravljena je od legure metala koja je u potpunosti prekrivena keramikom, tako da metalni dio nije vidljiv.
Zadovoljavaju funkciju i estetiku nadomještanja bočnih zuba, no sve se rjeđe koriste za prednje zube jer postoje materijali koji u potpunosti oponašaju optička svojstva prirodnih zuba.



2. STAKLO-KERAMIČKE KRUNICE
Staklo-keramičke krunice prvi su izbor u estetskoj stomatologiji. U potpunosti oponašaju optička svojstva prirodnih zuba, kao što su transparencija, translucencija, fluorescencija i luminiscencija, te ih je teško razlikovati od prirodnog zuba. Budući da ne sadrže metal, ne dolazi do obojenja ruba oko zubnog mesa niti do rubnog prosijavanja metala.
Preporučuju se za prednje zube, radi postizanja vrhunske estetike.


3. CIRKON-KERAMIČKE KRUNICE
Cirkon-keramičke krunice zbog svojih mehaničkih i estetskih svojstava spadaju u sam vrh moderne estetske stomatologije.
Mehanička otpornost postiže se već debljinom od 0,4 mm te je potrebno manje brušenja prirodnog zuba prije stavljanja same krunice.
Budući da se cirkon-keramičke krunice izrađuju vrlo precizno, uz pomoć CAD-CAM tehnologije, zbog preciznog dosjeda krunice olakšano je čišćenje, a smanjena je i iritacija zubnog mesa.
Još jedna prednost ovih krunica je nemogućnost pojavljivanja tzv. „crnog ruba“ zbog povlačenja zubnog mesa jer u konstrukciji ne postoji metal.
Također, nakon brušenja zuba izrađujemo PRIVREMENE krunice, tako da iz ordinacije ne izlazite bez zuba.



